人老了的信号易启胜,往往会悄悄藏在——
我们经常能观察到家里的老年人——
● 从椅子站起来,不再是一气呵成,而是得缓一下;
● 弯腰捡东西时,下意识地会扶一把身边的家具;
● 过马路前,会不自觉地犹豫几秒,估量绿灯够不够时间走完……
这些看似只是「慢了一点」,其实是身体在发出信号:肌肉正在流失,神经反应也在变慢。

图源:丁香医生设计团队
肌肉流失的常见后果包括:走路变慢、腿部无力、久站腿软、起身费劲、骨质疏松,生活自理能力下降…
而最严重、最直接的风险,是摔倒。
● 根据世界卫生组织的数据,跌倒已成为全球 60 岁以上人群非故意伤害死亡的首要原因,每年造成超过 68 万人死亡[1][2]。
● 在中国,相关死亡人数也从 1999 年的 2.5 万例增长到 2019 年的 10.7 万例,相当于每天约有 276 名老年人因跌倒失去生命[3][4]。

图源:丁香医生设计团队
这不是个偶发的小意外,而是长期身体机能下降后的集中表现。
「人老腿先老」
肌肉流失,大腿是重灾区
医学上把随着年龄增长出现的肌肉减少、力量下降和身体功能变弱,称为肌少症(包括原发性和继发性的)[6]。
研究显示,从 30 岁开始,肌肉量每 10 年大约会减少 3%~8%,而到了 60 岁以后,流失速度会进一步加快[6]。
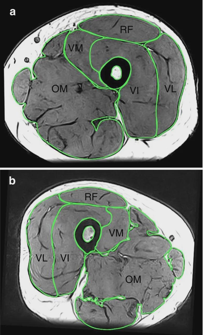
其中,大腿肌肉是「重灾区」:MRI 影像显示,70 岁时的大腿肌肉体积比 20 多岁时少了近四分之一[7]。

图示:a图为 22 岁男性;b图为 76 岁男性,股骨截面处可见大腿肌肉横截面积明显减少。
好消息是,肌肉流失,并不是不可逆的,只要开始锻炼,哪怕是高龄老人,肌肉仍然可以长回来。
早在 1990 年,就有研究发现,即使是 90 多岁的虚弱老人,坚持 8 周高强度力量训练后,肌肉体积和力量都能明显增加[5]。
之后大量研究反复证实:增强肌肉力量的训练,不仅能延缓身体功能的下降,更是预防跌倒的重要手段。
就拿一个经典的下肢训练动作——深蹲——来说。
深蹲能同时锻炼到大腿前侧的股四头肌、后侧的腘绳肌、臀部的臀大肌,以及小腿的肌肉群——这些部位,直接决定了家里老年人能不能站得起来、走得稳不稳、腿软不软。

图源:丁香医生设计团队
不过,光靠「练力量」还不够。
很多关键动作,不只是靠「有劲」,还得靠「发力快」。比如走路时加速、身体失衡时调整重心、开车时迅速从油门换到刹车……
这些都需要肌肉在短时间内迅速输出力量,那就要另外关注一个肌肉指标——
肌肉爆发力衰退
反应变慢的根本原因之一
跌倒往往发生在极短的时间内。
当人跌倒时,身体最快会在脚跟着地后 0.1 到 0.3 秒内自动做出反应,试图通过本能动作来稳住身体。如果这个反应没能及时启动,很容易就真的摔倒了。[8]
进入老年阶段后,肌肉的爆发力下降得比力量下降地更早也更快。[5]

而且相比之下,爆发力不足更能反映一个人当前的身体状态,也更能预测未来的跌倒风险。[5]
在力量训练中,有针对性地训练爆发力,对老年人预防跌倒是非常有帮助的。尤其是下肢的爆发力,更是在预防跌倒中起着关键作用[9][10]
好消息是,研究已经发现:老年人的肌肉爆发力是可以通过训练提升的。
而且如果在训练时更强调动作的「速度」,往往比传统的慢速力量训练更有助于改善身体功能。
考虑到一个事实:爆发力训练易启胜,就算是有锻炼习惯的老人可能都不怎么重视,但是介于爆发力在日常生活以及老年人防跌倒的关键位置,有必要把它的重要性性单独拿出来强调一下。

防跌倒锻炼,居家跟练版
存肌肉力量+爆发力
先测一测:下肢功能够不够用?
先不急着开始练,用一个动作先测测家里的老年人现在的腿脚情况。
这个测试叫做5 次坐立计时测试(STS,sit-to-stand):[11~13]
怎么测?
● 准备一把高度约 45 厘米、不靠墙、不带扶手的椅子;
● 双脚踩实地面,双臂交叉抱胸;
● 尽量快地完成5 次「坐下-站起」的完整动作;
● 你可以帮忙用手机计时:从起身开始,到第 5 次完全站直结束。
参考标准如下:
年龄
正常完成时间
超过说明
65~69 岁
≤ 12 秒
有跌倒风险
70 岁及以上
≤ 14 秒
有跌倒风险
如果你家里的老人超过了上面的时间,说明下肢反应力需要尽早训练了;
如果 TA 们完成得还不错,也别松懈,因为爆发力流失是随年龄持续加快的。
练起来:下肢肌力 + 爆发力训练组合
我们推荐的训练思路很简单:
✔ 同一个动作,用不同速度练,分别针对力量和爆发力。
✔ 安全、易学、不需要器械,适合在家练。
✔ 每周练 2~3 次,每次选 3~4 个动作(或者箱式深蹲这一个动作),每个动作做 1~2 组(10 次/组)
推荐动作 1:
深蹲(箱式深蹲)
● 练力量版本:慢慢蹲、慢慢站,用 3 秒下蹲、3 秒起立的节奏做 10 次;
● 爆发力版本:从坐姿一口气「站快一点」,注意不要跳起,动作干净利落做 10 次。
箱式深蹲是为了防止家里老年人深蹲的时候跌倒:万一腿部力量不足,要往后倒的话,可以直接一屁股坐在箱子(坐垫)上。如果家里老人体力还行,平时有锻炼习惯,也可以直接练标准深蹲。

另外,如果家里老人时间有限,或者不想练太复杂的动作,光是坚持做「深蹲」这一项,也已经非常有帮助了。它能同时锻炼到下肢多个关键肌群,增强力量、提升反应,对预防跌倒、保持活动能力都有实打实的效果。
当然,如果父母们有更多时间和精力,也可以在这个基础上,加入下面这些简单动作,进一步训练平衡感和全身协调性。
推荐动作 2:
小腿提踵(踮脚训练)
● 可以扶椅背辅助,缓慢踮脚 + 快速落地,交替练力量与爆发力

推荐动作 3:
登台阶(如楼梯第一阶)
● 缓慢版登上去站稳再下来,练力量;
● 快速版换边登踩,提高爆发反应(注意安全!)

推荐动作 4:
靠墙俯卧撑
用墙壁代替地面,是更安全、更容易坚持的上肢训练方式;
能锻炼手臂、肩膀和胸部肌肉,同时激活核心,对增强身体稳定性很有帮助;
每次做 8~10 次,保持节奏均匀,不求快,重在控制。
说明:这个动作能让身体整体更稳,为防跌倒打好「全身配合」的基础。

写在最后:不求快,求坚持
动作看起来简单,但关键在于长期坚持。
老年人建议:力量 + 爆发力混合练,一组慢一组快,安全也有效。
考虑到很多家长们是有跳广场舞习惯的,可以在每天跳舞的前后也可以顺便加上上面这些力量训练,不仅把舞跳了,也顺便把老防了。
如果你担心父母的身体状态不稳,可以从少量开始,循序渐进,每次控制在 10 分钟以内也完全可以受益。
想延缓衰老,练肌肉要趁早,尤其别忽视爆发力。无论家里老人(或者是你自己)多大年纪,储备肌肉、提升爆发力,从现在开始都不晚。
本文审核专家

参考文献
[1]Falls
[2]https://www.nature.com/articles/s41598-024-54265-9
[3]Wang, X., Xu, Y., Zhou, Y. & Yanxia, G. Meta-analysis on the incidence of falls among the elderly in chinese community chinese evidence-based nursing. Chin. Evid.-Based Nurs. 6, 1149–1154 (2020).Google Scholar
[4]Yi, H., Ruiqi, G., Shuhui, M. & Bei, L. Disease burden on falls among older adults in China, 1990–2019. Chin. J. Modern Prevent. Med. 48, 1542–1545 (2021).Google Scholar
[5]Powering Through Daily Activities in Older Age—Will Power Training Replace Strength Training in Later Life? - PMCMuscle tissue changes with aging - PMC
[6]Thigh muscle volume in relation to age, sex and femur volume - PMC
[7]Identification of balance recovery patterns after slips using hierarchical cluster analysis - ScienceDirect
[8]Muscle power is more important than strength in preventing falls in community-dwelling older adults - PubMed
[9]https://www.mayoclinicproceedings.org/article/S0025-6196(25)00346-5/fulltext?utm_
[10]Journal of Geriatric Physical Therapy
[11]https://agsjournals.onlinelibrary.wiley.com/doi/10.1111/j.1532-5415.2008.01777.x?utm
[12]Reference values for the five-repetition sit-to-stand test: a descriptive meta-analysis of data from elders - PubMed[13]This overlooked workout is key to aging better | National Geographic
https://www.nationalgeographic.com/health/article/how-power-training-helps-as-you-age
来源:丁香医生微信公众号
天宇优配提示:文章来自网络,不代表本站观点。